En poursuivant votre navigation sur ce site, vous acceptez l'utilisation de cookies pour vous proposer des contenus et services adaptés à vos centres d'intérêts. En savoir plus et gérer ces paramètres. OK X
 
 

 

 

Actualité des entreprises

Nanobiotix, les résultats préliminaires positifs de son essai clinique de phase I/II dans les cancers de la tête et du cou avec son produit NBTXR3

Publication: Juin 2015

Partagez sur
 
Evaluation du profil de sécurité du NBTXR3 par un comité indépendant et élargissement de la population cible...
 

NANOBIOTIX annonce des résultats préliminaires positifs avec son produit leader NBTXR3 dans l’essai de phase I/II de son étude pour les cancers de la tête et du cou.

- Des résultats intermédiaires démontrent la faisabilité de l’injection du produit NBTXR3 et un bon profil de sécurité du produit dans cette indication.

- Ces bons résultats permettent d’ouvrir à une population beaucoup plus importante parmi les patients atteints d’un cancer de la tête et du cou, en incluant ceux traités par chimiothérapie associée à de la radiothérapie.

- Un pas de plus vers l’usage et la transférabilité de l’approche thérapeutique de NBTXR3 dans différents types de tumeurs.

Les cancers de la cavité buccale représentent une grande partie des cancers de la tête et du cou dans le monde occidental. L’oropharynx est la partie postérieure de la cavité buccale et se connecte avec le nasopharynx (au-dessus) et laryngopharynx (au-dessous). Il est également un lieu fréquent de cancer primaire de la tête et du cou. Ces structures jouent un rôle crucial dans la déglutition, la respiration et de la parole. Les cancers oropharyngés localement avancés peuvent obstruer le flux respiratoire ou infiltrer des muscles ou des nerfs, ce qui perturbe considérablement les fonctions locales.

L’étude clinique en cours est une étude « en ouvert », non randomisée avec escalade de dose, avec comme objectifs primaires l’évaluation de la toxicité et du profil de tolérance de NBTXR3. Les objectifs secondaires de l’étude comprennent l’évaluation du taux de réponse objective et du taux de réponse complète par IRM, et l’évaluation de la survie sans progression locale ou générale de la maladie. La faisabilité de l’administration locale du produit NBTXR3 est en outre évaluée dans le cadre de cette étude.

Des premiers résultats positifs

Un comité de sécurité indépendant d’experts vient de rendre une évaluation positive du profil de sécurité de l’injection de NBTXR3, sur la base des résultats des deux premiers niveaux de dose de produit injectés dans le cadre de la phase I/II de l’essai clinique de Nanobiotix pour les cancers de la tête et du cou.

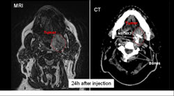
Les résultats intermédiaires montrent la faisabilité de l’injection NBTXR3 aux 2 premiers niveaux évalués. Des volumes équivalant à 5 et à 10% de la taille de la tumeur ont été testés par injection intra-tumorale. Pour mémoire, 10% du volume de la tumeur est le niveau recommandé dans l’indication du Sarcome des Tissus Mous avec le produit NBTXR3, actuellement en phase d’enregistrement (II/ III).

Ces résultats confirment également un bon profil de sécurité. Ainsi, aucun effet indésirable grave (SAE) lié au produit n’a été observé, et il apparaît que le produit reste dans la tumeur sans fuite dans les tissus sains environnants.

http://www.nanobiotix.com/fr

Suivez Industrie Mag sur le Web

 

Newsletter

Inscrivez-vous a la newsletter d'Industrie Mag pour recevoir, régulièrement, des nouvelles du site par courrier électronique.

Email:


 

Dans la même rubrique